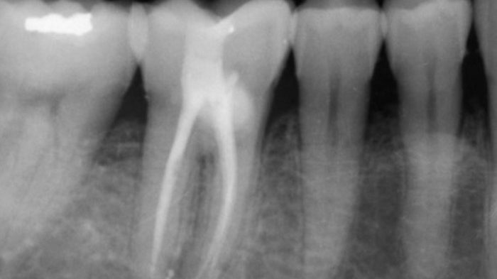
Caso Clínico del Dr. Luis Baroni: retratamiento del diente 24
En Zarc, nuestra misión es trascender fronteras para ofrecer una cobertura internacional incomparable en el campo de la…
En Zarc, nuestra misión es trascender fronteras para ofrecer una cobertura internacional incomparable en el campo de la…
El doctor Noé Hernández retrata un primer molar con limas Excalibur® y lo obtura con el cemento NeoSealer…
La Dra. Alessandra Baasch, especialista en Endodoncia, nos presenta un caso clínico instrumentado con BlueShaper®️+ ApicalShaper®️
El Dr. Pedro Alarcón Goldenberg presenta un caso clínico de una paciente de 57 años a la que…
El Dr. Álvaro Barrios realiza una cirugía apical con el uso del cemento biocerámico NeoPutty de Zarc para…
El doctor Noé Hernández retrata un 22 con limas Excalibur® y lo obtura con el cemento NeoSealer Flo®…
El doctor Noé Hernández nos presenta en este caso clínico una apertura de tipo conservador en un diente…
En este caso clínico el doctor Adrián Hernández muestra una endodoncia en un diente 35 con pulpitis irreversible,…
El Dr. Rubén Monge nos muestra en este caso un paciente con absceso apical severo en 1.6 con…
En este caso clínico el doctor Noé Hernández muestra una endodoncia en un diente 47 con un grado…
Caso clínico del doctor Marc Llaquet de una reendodoncia del diente 2.4 instrumentado con las limas RetreatAll® para…
Nuevo caso clínico facilitado por el doctor Carlos Peón. En esta ocasión, el sistema de instrumentación BlueShaper® es…
Caso de pulpitis irreversible tratada con los sistemas de instrumentación BlueShaper® y limas Z-Glider ambas de Zarc por…
El doctor Carlos Peón nos presenta un caso de éxito en el que utiliza los sistemas de instrumentación…
Gaceta Dental hace eco de este nuevo caso clínico donde las limas RetreatAll® de Zarc y las nuevas…
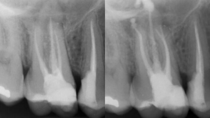
La doctora Purificación Varela nos presenta un caso clínico en el que le practica retratamiento con limas RetreatAll®…
Caso clínico en el que por la anatomía del diente y la complicación del diagnóstico se requiere instrumentación…
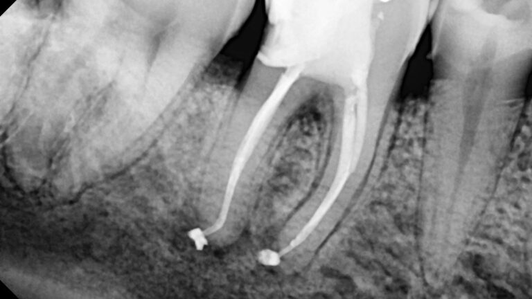
Los casos de retratamiento a menudo se complican y es por eso por lo que el retratamiento requiere…
Instrumentación anatómica en conductos curvos con limas endodoncia BlueShaper® Las limas de sexta generación abren un amplio abanico…
Necrosis pulpar en diente 45 con bifurcación en el tercio medio del conducto Caso clínico del doctor Francisco…
El doctor Roberto Estévez nos muestra las ventajas de trabajar con las limas BlueShaper en un primer premolar…
Retratamiento de un primer molar superior con 5 conductos con RetreatAll Conocer fielmente la anatomía interna de los…