Nuevos instrumentos para el retratamiento de conductos, limas RetreatAll®
Gaceta Dental hace eco de este nuevo caso clínico donde las limas RetreatAll® de Zarc y las nuevas técnicas endodónticas son clave para salvar el diente y evitar así aplicar la cirugía apical cuando la endodoncia no ha cumplido su objetivo.
Cuando de evitar la extracción se habla, la endodoncia es la clave. Pese a ello, pueden aparecer problemas posteriores por diversos motivos y el conocimiento de las posibilidades que tiene el clínico es de extrema importancia a la hora de salvar el diente.
El retratamiento combinado con las técnicas actuales de magnificación y diagnóstico mediante la CBCT es una opción viable para evitar la cirugía apical y poder evitar la pérdida del diente, donde la tasa de éxito oscila en torno al 77%.
Para que la endodoncia cumpla su objetivo ha de eliminarse el material de obturación del tratamiento previo, contaminado por bacterias persistentes y causantes del fracaso. Para ello, la manera más efectiva es eliminar la gutapercha antigua usando instrumental rotatorio para poder proceder a la desinfección y posteriormente dar paso al sellado tridimensional del sistema de conductos, lo que asegurará que la endodoncia tenga éxito a largo plazo.
Caso clínico: caso de retratamiento a través de corona de un 36 de un paciente previamente tratado hace 6 años
El paciente varón refiere dolor agudo a la percusión con inflamación de la zona e impotencia funcional. Tras exploración clínica se ve percusión y palpación positivas y sondaje fisiológico, con lo que se establece un diagnóstico definitivo de diente previamente tratado con periodontitis apical sintomática.
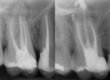
Previo al tratamiento se realiza exploración radiológica con radiografía periapical y CBCT para tener una visión tridimensional del caso. (Fig. 1) En las imágenes se ve que las raíces tienen imágenes radiolúcidas por lo que se sospecha de la existencia de conductos omitidos. Se descarta la existencia de fisuras radiculares. (Fig. 2)

Fig. 1: Estudio radiográfico previo al inicio del tratamiento, donde podemos observar en 2D y en 3D la existencia de
patología periapical.

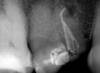
Fig. 2: Plano axial del tercio medio donde se puede observar la existencia de cortical alrededor de las raíces,
descartando la presencia de fisuras o fracturas verticales.
La corona metal-cerámica del molar se decide conservar por lo que todo el procedimiento se realiza a través de esta.
Una vez anestesiado y aislado se sigue la dirección que marca la CBCT hasta llegar a la cámara y localizar la gutapercha antigua. Para su retirada se usa el sistema RetreatAll® comenzando por la lima Zr1 (30/04, 21 mm) y la Zr2 (25/04 25 mm) a 500 rpm consiguiendo eliminar la gutapercha contaminada de los conductos previamente tratados de una manera segura.(Fig. 3)

Fig. 3: Imágenes de las limas Zr1 y Zr2 del sistema RetreatAll® empleadas durante el retratamiento para remover la
gutapercha contaminada del interior del sistema de conductos.
Para los conductos omitidos se utiliza el localizador de ápices E-conncect S y el sistema de instrumentación de doble aleación BlueShaper® siguiendo la secuencia desde Z1 hasta Z4.
Una vez terminado este proceso en los cinco conductos del molar, se procede a la irrigación. El hipoclorito de sodio al 4% utilizado para la desinfección y el EDTA al 17% se activan con el sistema UltraX en ciclos de 30 segundos el primero y un ciclo de un minuto el segundo.
Para lograr un buen sellado tridimensional se usa la técnica de calor contínua con el sistema Fast Pack. Para el relleno del tercio coronal se utiliza el sistema Fast Fill de inyección de gutapercha fluída. (Fig. 4 y 5)
En las imágenes del microscopio puede observarse el resultado de la obturación y su posterior revisión a los 12 meses. (Fig 6 y 7)

Fig. 4: Conometría donde podemos ver la disposición de la gutapercha en el interior del sistema de conductos.

Fig. 5: Unidad de obturación empleada para la condensación vertical y relleno del tercio medio y coronal del
sistema de conductos.

Fig. 6: Imágenes al microscopio óptico y radiografías, donde podemos observar el sellado tridimensional del entramado radicular.

Fig. 7: Radiografía de revisión 12 meses después
Discusión
El éxito de los casos complejos depende fundamentalmente de un buen diagnóstico de la causa del fracaso ya que, si se trata de una fisura, por ejemplo, no tiene solución endodóntica.
En este caso concreto, la CBCT nos aporta una visión en tres dimensiones que resulta clave para determinar la causa de este fracaso que es la existencia de dos conductos omitidos y falta de condensación en el relleno antiguo. El 3D nos permite ver imágenes que muchas veces en las radiografías periapicales pasan desapercibidas.
Para retirar el relleno antiguo la opción más rápida y efectiva es la instrumentación mecanizada. La activación del líquido irrigante es crucial para reducir al máximo la carga bacteriana. Para concluir, el relleno tridimensional es crucial para asegurar el éxito y que no vuelva a producirse una colonización de microorganismos que es lo que produce un nuevo fracaso. Cuanto más se reduzca la carga bacteriana y se realice un buen sellado tridimensional, la periodontitis apical desaparecerá y no volverá a repetirse.
Conclusiones
Si quieres conocer las conclusiones y el debate generado de este caso clínico, lee el artículo completo publicado por Gaceta Dental aquí

Dr. Francisco de la Torre
Endodoncista exclusivo, cursó su licenciatura de Odontología y se especializó en endodoncia en la Universidad Europea de Madrid. Doctor en Odontología, con tesis sobre lesiones periapicales y su relación con el paciente diabético. Autor y coautor de numerosos artículos en revistas de impacto de endodoncia. Premio mejor caso clínico en el congreso AEDE 2009.

Dr. Roberto Estévez
El doctor Roberto Estévez es doctor en odontología y ejerce como profesor titular de Odontología, profesor de Prácticas tuteladas I/II y profesor contratado doctor por ANECA. Es también coordinador del Máster Universitario en Endodoncia Avanzada y editor de la Revista Oficial de la Asociación Española de Endodoncia. Práctica exclusiva en (Clínica Endodoncia Madrid)

Dr. José Aranguren
Endodoncista exclusivo, cursó su licenciatura de Odontología en la Universidad Europea de Madrid y es, en la actualidad, director del Máster de Endodoncia Avanzada de la Universidad Rey Juan Carlos (Madrid) y profesor del International Dental Institute en Palm Bleach (Florida). Ponente de cursos y conferencias a nivel nacional e internacional. Presidente Electo de AEDE. Vocal del COEM.

Dr. Rafael Cisneros
Catedrático de Endodoncia por la Universidad Europea de Madrid. Director del Máster Universitario en Endodoncia Avanzada de la misma universidad. Doctor en Odontología. Expresidente de la Asociación Española de Endodoncia (AEDE). Ponente nacional e internacional. Autor y coautor de varios artículos publicados en revistas de impacto de endodoncia. Endodoncista exclusivo en Madrid.
Más información
Si estás deseando probar nuestros productos ponte en contacto con nosotros a través del correo electrónico a hola@zarc4endo.com. ¡Estaremos encantados de asesorarte!






