Retratamiento de un primer molar superior con conducto omitido instrumentado con Excalibur® y obturado con NeoSealer Flo®
El doctor Noé Hernández recibe en su clínica a un paciente aquejado de dolor agudo en la zona del primer cuadrante. Tras realizar las pruebas diagnósticas oportunas, se observa que el diente 16 ha sido tratado previamente y hoy en día presenta una periodontitis apical aguda, para la cual se debe reintervenir.
Tras la desobturación de los conductos, se procede a instrumentar el diente con Excalibur® y a encontrar el conducto omitido no tratado en un primer momento para, a continuación, irrigar profusamente y obturarlo con el nuevo cemento NeoSealer Flo® de Zarc con la técnica de cono único.
Diagnóstico
A la clínica del doctor Noé Hernández acude un paciente que presenta dolor agudo en zona del primer cuadrante. Se realizan diferentes pruebas para establecer un diagnóstico preciso:
- Diente previamente tratado
- Prueba de percusión positiva
- Prueba de palpación positiva
- Sondaje fisiológico
El diagnóstico final es el de una periodontitis apical aguda en diente 16 en un diente que ha sido tratado previamente.

Radiografía inicial diagnostica
Retratamiento no quirúrgico
En casos como este, donde la endodoncia inicial es deficiente, siempre optamos por el retratamiento de conductos o reendodoncia como primera elección, ya que nos permite ser más conservadores y alargar la vida del diente.
La secuencia endodóntica se realiza de la siguiente forma:
- Desobturación del tercio coronal utilizando una fresa Gates Gliden #2, cuyo calibre en punta es de 70.
- Desobturación y conformación del conducto con la lima reciprocante Excalibur® 35.05 de Zarc hasta obtener permeabilidad apical y medición con el LEA.
- Búsqueda del conducto mesiopalatino o MB2, que estaba omitido.
- Calibrado apical con Excalibur® 45.05 de Zarc.

Instrumentación con el sistema Excalibur® de Zarc
Una vez hemos desobturado e instrumentado los conductos principales correctamente, procedemos a buscar el conducto omitido, que en este caso era el conducto mesiopalatino. Para ello nos servimos de puntas de ultrasonidos, desgastando de forma controlada la dentina hasta encontrarlo.
En un artículo publicado por Song y cols. en 2011 en el Journal of endodontics, la omisión de conductos era una de las causas principales de fracaso en endodoncia (20%).

Conductos localizados e instrumentados
Una vez hemos localizado e instrumentado todos los conductos, pasamos a la fase clave en los retratamientos, la limpieza intraconducto. La irrigación debe ser profusa, al tratarse de diente previamente tratado con imagen apical. Por ello, se utiliza hipoclorito de sodio al 4’25% en tres ciclos de 30 segundos de activación ultrasónica con Z-Activator®. También se utiliza EDTA al 17% durante 30 segundos activado ultrasónicamente.
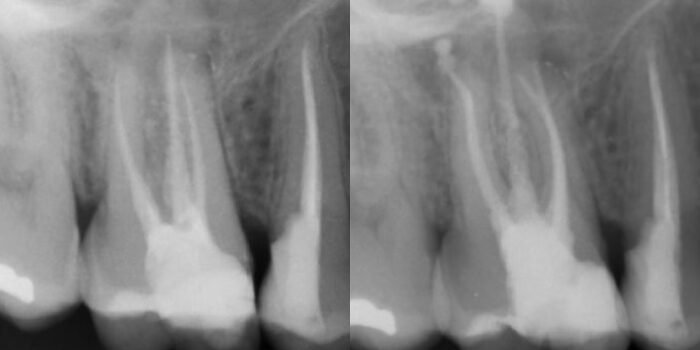
Posteriormente, se realiza una radiografía de conometría para comprobar el ajuste apical y se procede a obturar.

Conductos obturados
Obturación con biocerámico NeoSealer Flo® de Zarc
Para la obturación se utiliza el nuevo cemento biocerámico Neosealer Flo® de Zarc con la técnica de cono único.
La ventaja principal de estos nuevos cementos es su capacidad de fraguar incluso en condiciones de humedad en el conducto, lo cual ayuda en casos de retratamientos y necrosis pulpar.
Por último, se realiza la reconstrucción definitiva del caso y la radiografía final postoperatoria. Se hará revisión del caso en 6 meses para ver evolución de la lesión apical.

Radiografías finales del caso









