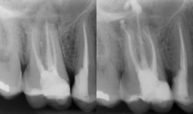
Caso clínico: retratamiento por el Dr. Noe Hernández instrumentado con Excalibur®
El doctor Noé Hernández retrata un primer molar con limas Excalibur® y lo obtura con el cemento NeoSealer Flo® de Zarc.
El doctor Noé Hernández retrata un primer molar con limas Excalibur® y lo obtura con el cemento NeoSealer Flo® de Zarc.
El doctor Noé Hernández retrata un 22 con limas Excalibur® y lo obtura con el cemento NeoSealer Flo® de Zarc con técnica de cono único.
El doctor Noé Hernández nos presenta en este caso clínico una apertura de tipo conservador en un diente 46 en el que se aprecia una gran necrosis pulpar.
En este caso clínico el doctor Adrián Hernández muestra una endodoncia en un diente 35 con pulpitis irreversible, que, además, cuenta con una bifurcación en el tercio medio. Utiliza el sistema de limas SlimShaper®, ideal para conductos con curvaturas abruptas, el sistema de activación ultrasónica Z-Activator® para lograr una irrigación perfecta, y los sistemas de obturación Z-Up® y Z-Down® para el sellado.
El Dr. Rubén Monge nos muestra en este caso un paciente con absceso apical severo en 1.6 con un tratamiento de conducto realizado previamente. En el retratamiento utiliza RetreatAll® para eliminar la gutapercha y BlueShaper® para la instrumentación.
En este caso clínico el doctor Noé Hernández muestra una endodoncia en un diente 47 con un grado de destrucción muy alto. Utiliza el sistema de limas BlueShaper®, ideal en piezas tan deterioradas, y el sistema de activación ultrasónica Z-Activator para lograr una irrigación perfecta.
Caso clínico del doctor Marc Llaquet de una reendodoncia del diente 2.4 instrumentado con las limas RetreatAll® para remover la gutapercha en la que la activación ultrasónica se realizó con Z-Activator® durante la irrigación.