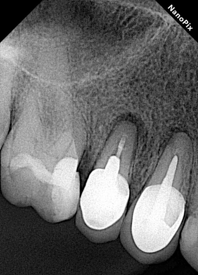
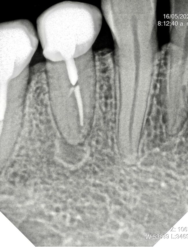
Clinical Case by Dr. Luis Baroni: Retreatment of Tooth 24
At Zarc, our mission is to transcend borders to offer unparalleled international coverage in the field of endodontics.
At Zarc, our mission is to transcend borders to offer unparalleled international coverage in the field of endodontics.
Dr. Noé Hernández performs a retreatment of a first molar with Excalibur® files and fills it with Zarc’s NeoSealer Flo® cement.
Dr. Alessandra Baasch, an Endodontics specialist, presents a clinical case instrumented with BlueShaper®️+ ApicalShaper®️.
Dr. Pedro Alarcón Goldenberg presents a clinical case of a 57-year-old patient with a history of previous surgery
Dr. Álvaro Barrios performs an apical surgery using Zarc’s NeoPutty bioceramic cement for endodontic retreatment
Doctor Noé Hernández portrays a 22 with Excalibur® files and fills it with NeoSealer Flo® cement from Zarc with a single cone technique
Dr. Noé Hernández shows a conservative opening in a 46 tooth in which a large pulp necrosis can be seen.
In this clinical case, Dr. Adrián Hernández shows a endodoncy of a tooth 35 with irreversible pulpitis, which also has a bifurcation in the middle third. He uses the SlimShaper® file system, ideal for canals with abrupt curvatures, the Z-Activator ultrasonic activation system for perfect irrigation, and the -Up and Z-Down obturation systems for sealing.
Dr. Rubén Monge shows us in this case a patient with severe apical abscess in 1.6 with a previously performed root canal treatment. In the retreatment he uses RetreatAll® to remove the gutta percha and BlueShaper® for the instrumentation.
Dr. Marc Llaquet’s clinical case of a reendodontic tooth 2.4 instrumented with RetreatAll® files to remove gutta-percha in which ultrasonic activation was performed with Z-Activator® during irrigation.