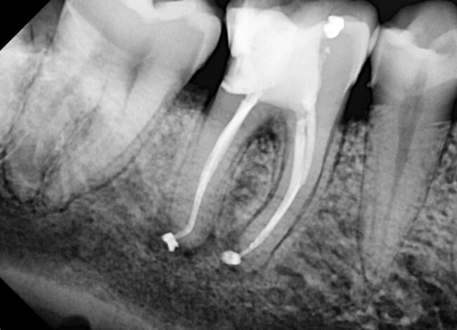
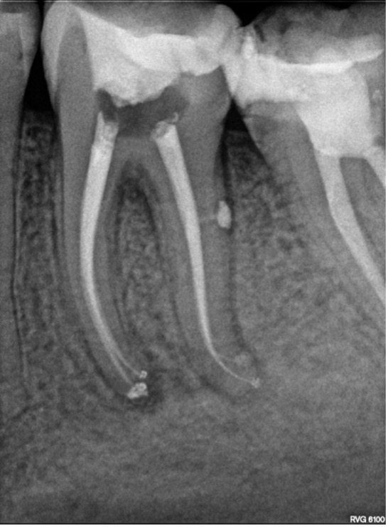
Biopulpectomía en pulpitis irreversible utilizando BlueShaper®, Z-Glider, Fast Pack y Fast Fill
Caso de pulpitis irreversible tratada con los sistemas de instrumentación BlueShaper® y limas Z-Glider ambas de Zarc por el doctor José Conde en su clínica de endodoncia exclusiva, Clínica Conde País.












