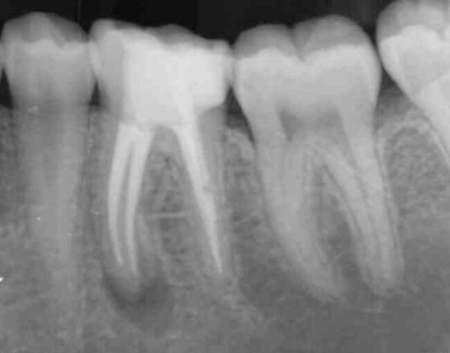
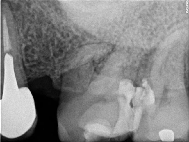
Curso de Endodoncia O2O los días 11 y 12 de junio en Valencia
Organizado por O2O Endo Academy, los doctores Francisco de la Torre y Rafael Cisneros han sido los encargados de impartir este curso teórico-práctico en el que se han dado todas las claves para una endodoncia paso a paso.












