Dr. Luis Baroni Retreats Tooth 24 with Excalibur Files and Seals it with NeoSealer Flo® Cement by Zarc
Today we present an interesting clinical case managed by Dr. Luis Baroni, highlighting the importance of continuous monitoring and the use of advanced technologies in endodontic treatment.
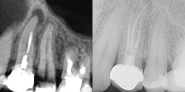
Patient’s Clinical History
The patient first visited the clinic in 2017 with concerns about the possibility of retreatment for teeth 26 and 24. At that time, it was decided to retreat tooth 26 due to the presence of symptomatic apical periodontitis. Tooth 24, despite a questionable obturation, showed no signs or symptoms of pathology, so periodic radiographic monitoring was chosen.
Case Development
After four years of follow-up, a radiolucent image was observed at the periapical level of tooth 24, although the patient remained asymptomatic. A CBCT (Cone Beam Computed Tomography) was performed to evaluate the size of the lesion, confirming the presence of asymptomatic apical periodontitis and the need for non-surgical retreatment.
Treatment Planning
The treatment presented several challenges:
- Access through a metal-ceramic crown: The crown was well-adapted, and the patient preferred not to remove it.
- Removal of a prefabricated metal post: Inserted in the Disto-Buccal root, with the risk of decementation of the prosthetic crown.
- Localization of the missed mesio-buccal canal: Essential for treating apical periodontitis.
Treatment Execution
The treatment was carried out as planned, without additional complications. The 3D images from the CBCT and the CJ-Optik Optical Microscope were used to guide the procedure. The steps included:
- Canal deobstruction: Using the Z-Down system and Excalibur® E-25 file.
- Irrigation and disinfection: With 4% sodium hypochlorite and 17% EDTA, activated with the Z-Activator ultrasonic device.
- Intracanal medication: Calcium hydroxide was applied to enhance disinfection and the periapical environment.
Final Obturation
For obturation, NeoSealer Flo® bioceramic cement was used, impregnating the 25/.04 gutta-percha cones by Zarc with bioceramic and performing the cold single cone gutta-percha technique.
Conclusion
This case underscores the importance of meticulous planning and the use of advanced technologies to overcome complex clinical challenges. Thanks to Dr. Luis Baroni’s expertise and the use of innovative tools, successful treatment was provided, ensuring the dental health and well-being of the patient.
At Zarc, we remain committed to offering cutting-edge treatments and exceptional care to our patients. If you have any questions, please do not hesitate to contact us.









